Si te han dicho que tienes hipoplasia del esmalte, o lo sospechas porque ves manchas, surcos o zonas del diente que parecen “más frágiles”, lo primero es entender esto: no siempre es un problema estético sin más. En muchos casos, la hipoplasia implica que el esmalte no se formó con el grosor o la estructura habitual, y eso puede afectar a la sensibilidad, al riesgo de caries o a la tendencia a que el diente se desgaste o se rompa.
La buena noticia es que, con un enfoque actual y conservador, se puede proteger el diente y mejorar el aspecto sin recurrir automáticamente a tratamientos agresivos. La clave es un diagnóstico correcto y un plan que respete el tejido dental.
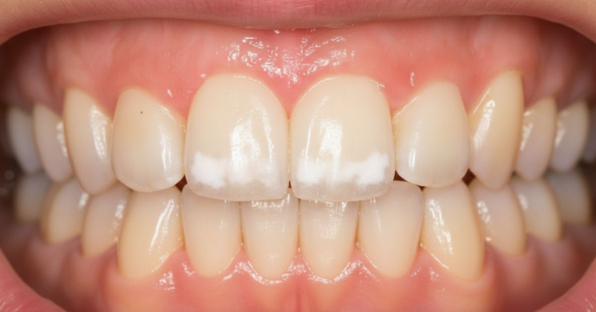
Hipoplasia del esmalte: qué significa exactamente
La hipoplasia del esmalte es un defecto de desarrollo: durante la formación del diente, el esmalte puede quedar con menos espesor, con irregularidades (surcos, hoyuelos) o con zonas menos uniformes. Por eso puede verse como:
-
Manchas blancas, crema o amarillentas (a veces con bordes definidos).
-
Surcos o “líneas” que atraviesan parte del diente.
-
Hoyuelos o pequeñas depresiones.
-
Bordes que se desgastan o “saltan” con más facilidad.
La hipoplasia suele ser un defecto “de cantidad/estructura” (esmalte insuficiente o irregular), mientras que otras alteraciones como la MIH se relacionan más con “calidad de mineralización” en zonas específicas. En la práctica, esto cambia el tipo de solución que conviene.
Por qué aparece la hipoplasia del esmalte
No siempre se puede señalar una causa única, pero hay patrones conocidos. La hipoplasia puede relacionarse con:
-
Factores locales: un golpe o infección que afecte al diente en desarrollo (en especial en dentición infantil y etapa de recambio).
-
Factores sistémicos durante el desarrollo: enfermedades febriles en periodos concretos, prematuridad, alteraciones nutricionales, etc.
-
Genética: en algunos casos hay predisposición a defectos del esmalte.
-
Cronología del desarrollo: a veces el defecto aparece como una “banda” porque el problema ocurrió en un periodo concreto de formación del esmalte.
En la mayoría de casos, la hipoplasia no se origina por la higiene. Lo que sí ocurre es que un esmalte irregular puede retener más placa, y ahí aumenta el riesgo secundario si no se controla bien.
Hipoplasia del esmalte vs MIH vs fluorosis
Muchas familias (y adultos) llegan diciendo “es fluorosis” o “son caries”. La diferenciación suele basarse en patrón, localización y textura:
Hipoplasia del esmalte
-
Puede verse como surcos, hoyuelos o zonas con menos esmalte.
-
A menudo es localizada o con un patrón “marcado”.
-
Puede retener más placa y generar sensibilidad según la profundidad.
MIH (hipomineralización incisivo-molar)
-
Típica en molares permanentes (muelas de los 6 años) y a veces incisivos.
-
Suele dar sensibilidad y esmalte que se descascarilla (fractura post-eruptiva).
-
Las manchas suelen estar bien delimitadas.
Fluorosis
-
Manchas blancas más difusas y relativamente simétricas.
-
No siempre implica fragilidad ni dolor.
-
Suele ser más “general” en varios dientes, según el caso.
En consulta, no se decide solo mirando “el color”: se valora la textura, la sensibilidad, la integridad del esmalte y el riesgo.
Señales de que conviene tratar (y no solo observar)
La hipoplasia no siempre requiere intervención. Pero sí conviene valorar un plan cuando hay:
-
Sensibilidad al frío, al cepillado o al aire.
-
Zonas que se desgastan rápido o se rompen.
-
Dificultad para mantener encías estables por retención de placa.
-
Impacto estético relevante (sonrisa frontal, “mancha” muy visible).
-
Antecedentes de caries recurrente en ese diente o en esa zona.
Por qué la planificación evita tratamientos de más
Una estrategia conservadora empieza con diagnóstico claro. En una clínica con enfoque digital, lo habitual es:
-
Exploración + fotos clínicas (para documentar textura y patrón).
-
Si procede, escaneo 3D para planificar proporciones si hay un objetivo estético (especialmente si se plantea bonding o carillas).
-
Evaluación del riesgo de caries y hábitos (dietas ácidas, bruxismo, higiene).
-
Decisión por niveles: proteger primero, embellecer después si hace falta.
Esto es importante porque la estética “bonita” dura poco si no se ha estabilizado antes la función y el entorno (higiene/encía).
Tratamiento de la hipoplasia del esmalte: opciones conservadoras por niveles
Aquí es donde conviene ser muy honesto: no hay un único tratamiento universal. Depende de severidad, localización, sensibilidad y objetivo (función/estética).
1) Prevención y protección (primero)
En defectos leves o moderados, muchas veces la prioridad es:
-
Reducir sensibilidad con pautas de higiene adecuadas.
-
Control de dieta ácida y hábitos que erosionen.
-
Medidas preventivas para disminuir riesgo de caries (según indicación clínica).
2) Selladores y protección de surcos (cuando hay retención)
Si hay irregularidades o surcos donde se acumula placa (muy típico en molares), proteger esas zonas puede evitar caries y sensibilidad.
3) Soluciones mínimamente invasivas para estética (si el defecto lo permite)
En ciertos casos, pueden considerarse técnicas conservadoras para mejorar apariencia sin tallados agresivos. No se indican “por sistema”: se eligen si el tipo de defecto es compatible y si no aumentan sensibilidad.
4) Restauraciones adhesivas (bonding) cuando hay pérdida o fragilidad
Si el esmalte es insuficiente en una zona o se fractura, la restauración adhesiva puede:
-
Proteger el diente.
-
Mejorar estética.
-
Devolver función sin “comerse” más estructura.
5) Carillas o coronas: solo cuando están justificadas
Cuando el defecto es severo, afecta estructura de forma importante o el objetivo estético requiere un cambio mayor, se valora una solución de recubrimiento. La clave aquí es hacerlo con planificación (mock-up) y con el máximo respeto por el tejido dental.
Cómo cambia la decisión según el paciente
Adulto con agenda (quiere resultado sin complicaciones)
Suele pedir “algo que se vea bien y sea estable”. Lo correcto es:
-
diagnóstico (severidad + sensibilidad),
-
plan conservador,
-
previsualización (mock-up) si se plantea estética visible.
Adolescente deportista
La prioridad suele ser protección y prevención: un esmalte con hipoplasia puede ser más vulnerable a desgaste, golpes y hábitos ácidos. Se busca estabilidad y mantenimiento.
Encías sensibles o inflamación frecuente
Si hay sangrado o inflamación, la estética debe esperar: primero encía estable e higiene eficaz. Un acabado estético sobre encía inflamada suele durar menos y se ve peor.
Riesgos y límites clínicos (lo que te conviene saber antes de decidir)
-
No siempre se puede “igualar” el color al 100% con soluciones simples.
-
Si hay sensibilidad, algunas opciones estéticas pueden empeorarla si se eligen mal.
-
La durabilidad depende de hábitos (higiene, dieta, bruxismo) y de controles.
-
Prometer “perfecto” es mala práctica: el objetivo realista es proteger, mejorar y estabilizar.
Cuándo coordinar o derivar (periodoncia / cirugía / TTM)
-
Periodoncia: si hay inflamación persistente, recesión o necesidad de estabilizar encía antes de estética.
-
Endodoncia: si hay dolor persistente o signos pulpares (no es lo habitual, pero puede ocurrir).
-
Cirugía: en situaciones anatómicas concretas que condicionen el plan.
-
TTM/ATM: si hay síntomas funcionales (dolor mandibular, chasquidos, sobrecarga) que obliguen a planificar contactos antes de “cerrar” o “engordar” dientes.
Preguntas frecuentes
¿La hipoplasia del esmalte es caries?
No. Es un defecto de formación del esmalte, aunque puede aumentar riesgo de caries si retiene placa o hay sensibilidad.
¿Se puede blanquear la hipoplasia del esmalte?
A veces puede mejorar el aspecto, pero no “corrige” un defecto estructural y no siempre está indicado.
¿Se puede tratar sin tallar dientes?
En muchos casos sí, con prevención, protección y restauraciones adhesivas conservadoras.
¿Cuándo se recomiendan carillas?
Cuando el defecto y el objetivo estético lo justifican y se puede planificar de forma mínimamente invasiva.
¿La hipoplasia del esmalte empeora con el tiempo?
Puede empeorar si hay desgaste, ácidos, caries o higiene difícil. Con control y protección, suele estabilizarse.
Si crees que puedes tener hipoplasia del esmalte (manchas, surcos, sensibilidad o esmalte frágil), lo más útil es una valoración para decidir severidad, riesgos y la opción más conservadora para tu caso. En Clínica Dental Ramis Gandía (Inca, Mallorca) la dirección médica la lideran la Dra. Mar Ramis y el Dr. Tato Gandía (ortodoncistas), con un enfoque de honestidad clínica, precisión digital y resultados estables.






